Hammaslääkäri Kalle Karvonen

Hymy alkaa terveistä hampaista.

Tervetuloa vastaanotolleni!

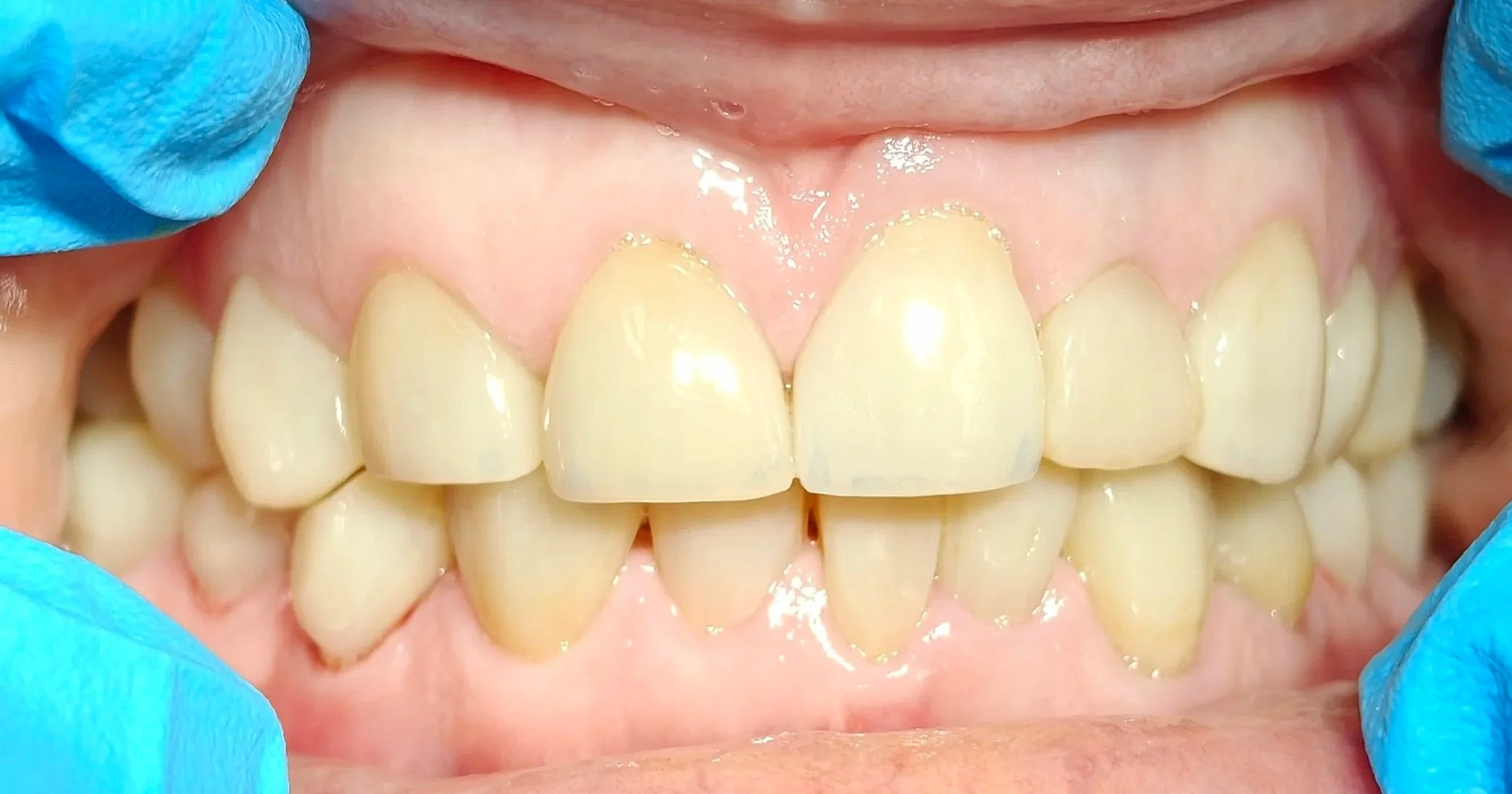
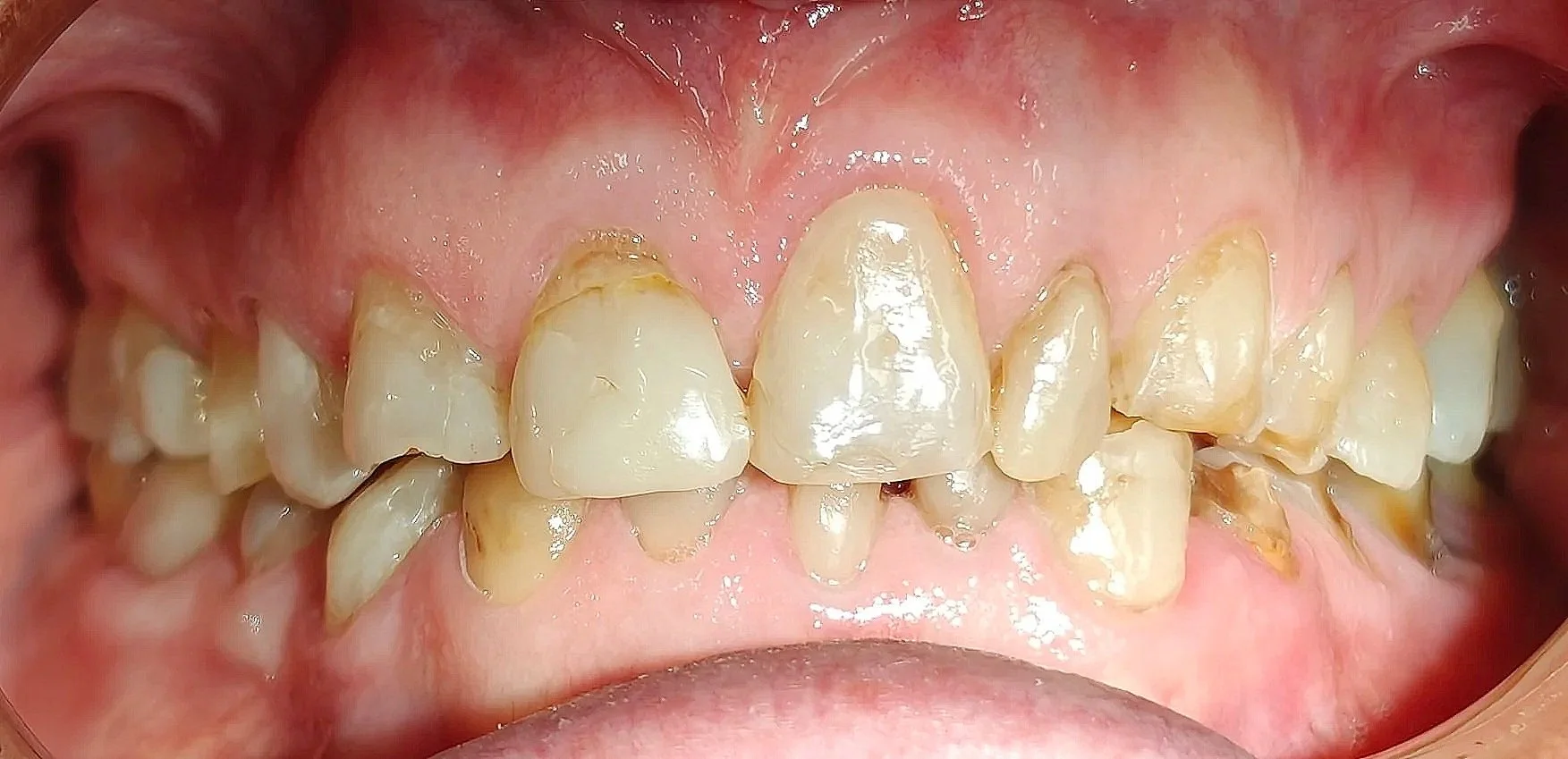
Kuvia potilastapauksista
Varaa aika

Palvelut

Kaikkiin hoitotoimenpiteisiin on saatavilla hyvä puudutus ja tarvittaessa esilääkitys.

Kaldent Oy soveltaa Oral hammaslääkärien toimenpidehinnastoa. Esimerkkejä alla:

  • Tavanomaisesti hammastarkastus röntgenkuvineen kustantaa n. 140e (sisältä palvelumaksun ja kelakorvaukset)

  • Lohkeaman tai reiän paikkaus n. 130-230e, riippuen vaurion laajuudesta ja puudutuksen tarpeesta (sisältää palvelumaksun ja kelakorvaukset)

  • Yhden hampaan keraaminen kruunu yhdellä tai kahdella käynnillä, kokonaiskustannukset käynneille n. 950-1100e, riippuen työn vaativuudesta (sisältää palvelumaksun ja kelakorvaukset)

Hinnastosta poikkeavista kustannuksista sovitaan aina potilaan kanssa erikseen.

Määräaikaistarkastukset ja perushammashoito

  • Suun perustutkimukset

  • Paikkaushoito

  • Iensairauksien hoito

Särkypäivystys, hammastapaturmat ja hammaskirurgia

  • Hampaan reikä ja lohkeamat

  • Hampaan juurihoito

  • Hampaiden poistot

  • Hammastapaturman tutkimus ja ensiapuhoito

Proteettinen hoito

  • Keraamiset kruunut ja sillat

  • Implanttikruunut

  • Hammaslaminaatit

Kuvia potilastapauksista