Potilastapauksia

Kiillevaurioiden paikkaus

Potilaalla oli etuhampaissa kiilteen kehityshäiriöitä, joiden korjaamista oli miettinyt jo pidemmän aikaa. Etuhampaiden kiillevauriot preparoitiin pois omaa tervettä kiillettä säästäen ja menetetty kudos peitettiin muovitäytteillä. Toimenpide ei vaatinut paikallispuudutusta.

Kokonaiskustannukset n. 600e (hinnasto 2025)

Etalueen uudet paikat

Potilaan omat etuhampaat olivat kuluneet ja värjäytyneet ajan kanssa viereisiin keraamisiin siltoihin nähden. Etuhampaiden paikat vaihdettiin ja pinnat päällystettiin muovilaminaateilla minimi-invasiivisesti.

Kokonaiskustannukset n. 450e. (hinnasto 2026)

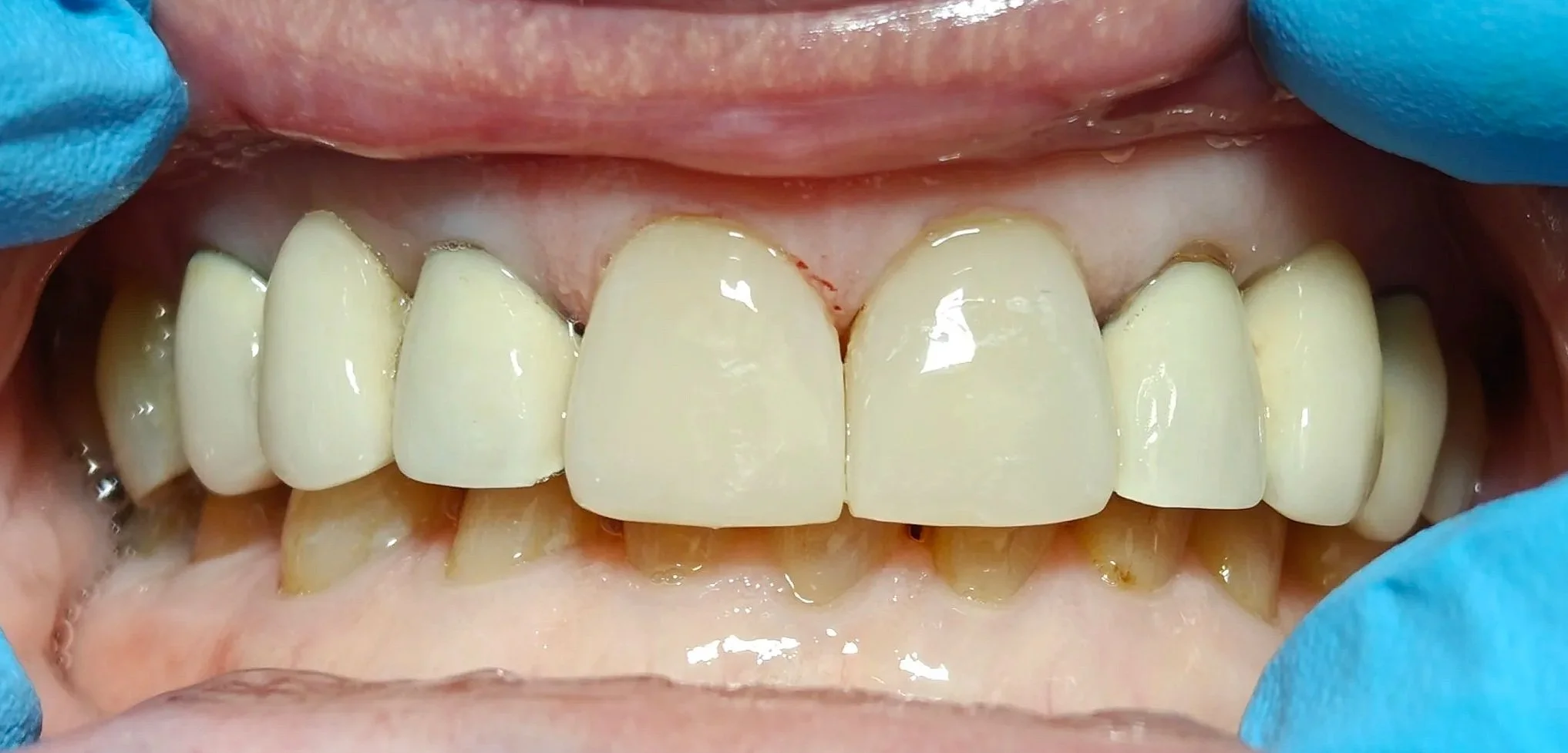
Potilaan etuhampaiden pinnoilla oli reilusti kulumisvaurioita ja vanhat muovipaikat olivat osittain irronneet. Etuhampaiden paikat uusittiin omaa hammaskudosta säästäen.

Kokonaiskustannukset hoidolle n. 750e. (hinnasto 2024)

Puuttuvan hampaan korvaus hammassillalla

Potilaan ylähammas oli haljennut ja hammas jouduttiin poistamaan. Hammaspuutoksen korvaamiseksi hoitovaihtoehtoina olivat hammasimplantti tai keraaminen silta. Potilaan kanssa päädyttiin keraamiseen siltaan, kun hoitojakso oli kestoltaan lyhyempi ja vaivattomampi hammasimplanttiin verrattuna. Samalla paikattiin lohjennut etuhammas.

Kokonaiskustannukset kolmen yksikön hammassillalle ja etuhampaan paikkaukselle n. 2500e. (hinnasto 2025)

Potilaan ensimmäinen premolaari oli jouduttu poistamaan joitakin vuosia sitten ja puutos oli korvattu muutaman vuoden vanhalla kolmen hampaan kuitulujitteisella muovisillalla, joka oli nyt pettänyt. Kuitulujitteinen muovisilta korvattiin neljän yksikön keraamisella sillalla. Kokonaiskustannukset hoidolle n. 3000e. (hinnasto 2025)

Laaja purennan kuntoutus

Potilaalla oli laajalti kulunut hampaisto, jonka vuoksi purenta oli hieman madaltunut. Lisäksi useampi vanha muovipaikka oli irronnut tai vaihdon tarpeessa. Toteutettiin laaja purennan kuntoutus, jossa purentaa ensin korotettiin muovipaikoilla muutamaksi kuukaudeksi. Kun potilas oli tottunut palautettuun purentakorkeuteen, restauroitin laajimmin kuluneet hampaat keraamisilla kruunuilla. Kokonaiskustannukset hoidolle n. 9500e (hinnasto 2026)